دکتر مهدی خانی
جراح مغز و اعصاب و ستون فقرات
فلوشیپ جراحی پیشرفته ستون فقرات از آمریکا
خانه
حساب کاربری
گالری
مدارک
مطالب آموزشی
نوبت دهی و مشاوره
درباره ما
تماس با ما
برنامه آندروید
❮
❯
راهنمای استفاده از وبسایت را در ویدئو زیر می توانید مشاهده کنید
Your browser does not support the video tag.
---------- خدمات ----------
تنگی کانال نخاعی
جراحی اندوسکوپیک
تزریقات نخاعی
دیسک کمر
شکستگی مهره
قوز مهره های پشتی
قوز مهره های کمری
دیسک گردن
لغزندگی مهره
تزریق سیمان در مهره
تومور نخاعی
افزایش ارتفاع دیسک و فیوژن جسم مهره ها (TLIF)
عمل بسته لیزری دیسک
جراحی اعصاب محیطی
اسکولیوز
خونریزی مغزی
تومور مغزی
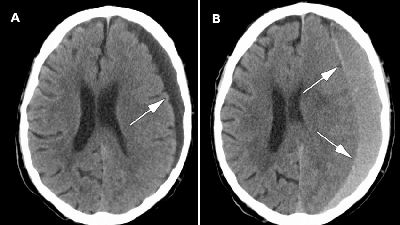
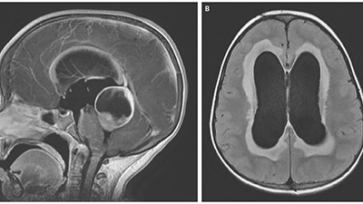
جمع شدن آب در سر
-------- لینکهای مفید --------
مشاهده نسخ تامین اجتماعی
مشاهده نسخ بیمه سلامت
اخبار وزارت بهداشت
دانشگاه علوم پزشکی شیراز
آموزش دیجیتال فرادرس
آموزش پزشکی آوید